OPEN

CLOSE

診療センター / 消化器内視鏡センター

内視鏡治療や特殊な内視鏡検査

内視鏡治療や特殊な内視鏡検査

内視鏡的粘膜下層剥離術

内視鏡的粘膜下層剥離術は、胃・食道・大腸などの消化管早期がんに対する治療法です。リンパ節転移が少ないとされる粘膜がんが適応となります。消化管の粘膜のみを切除するため、手術時間も短く、体の負担も少ないのが利点です。消化管の病巣切除部は粘膜が欠如した人工的な潰瘍となりますので、術後は食事療法や内服治療が必要となります。術後出血の予防と出血時に迅速に対応するため術後数日間は入院療養が必要となります。

内視鏡的粘膜下層剥離術(ESD)の方法

  1. 切除範囲を決めるため病変周囲にマーキングします。

  2. マーキング部の粘膜下に液体(局注液)を注入し切開部を盛り上がらせます。

  3. マーキングの外側の粘膜を切開していきます。

  4. 病変の粘膜下に局注を追加しながら、粘膜を剥離していきます。

  5. 病変を含んだ粘膜全体を剥離して手術は終了です。粘膜を剥離した部位は、人工的な潰瘍となります。

症例

  1. 胃前庭部に早期胃がんを認めます。

  2. 病変周囲にマーキングをします。

  3. 粘膜切開を行っていきます。

  4. 全周の切開が完了し、粘膜剥離を行っていきます。

  5. 粘膜下層の剥離を進め、粘膜が剥がれていきます。

  6. 粘膜剥離を終え、切除終了です。

内視鏡的ポリープ切除術

大腸や胃に出来た良性のポリープのうち、悪性化する恐れがあるものや貧血などの原因となるものは、内視鏡切除の適応となります。大腸ポリープは外来での大腸内視鏡検査時に切除することも可能です。その場合には術後出血の予防のため食事療法や日常生活上の注意点がありますので、スタッフの指示に従ってください。またポリープを切除した場合は、内視鏡検査から内視鏡手術に手技が変更となるため、検査・処置料金が変わりますので予めご了承ください。

実際の内視鏡的ポリープ切除

  1. ポリープの基部に金属製のスネア(輪状の針金)をかけます。 

  2. スネアを絞っていき、ポリープの基部を絞めつけます。 

  3. スネアに高周波電流を流し、ポリープを切除します。 

  4. 切除部位からの出血がないことを確認し、出血があれば止血処置を行うこともあります。 

症例

  1. S状結腸の有茎性ポリープです。

  2. ポリープに金属スネアをかけていきます。

  3. ポリープの基部にスネアをかけます。

  4. 切除部位を締め付けます。

  5. スネアに高周波電流を流し切除します。

  6. 切除後は出血がないことを確認して終了です。

内視鏡的止血術

胃・十二指腸潰瘍や大腸憩室からの出血に対して、内視鏡にて出血部位に対する止血処置を行います。止血方法は血管を直接留めるクリップ法や血管を焼灼凝固するアルゴンプラズマ凝固法(APC法)などがあります。病態によりどの止血法を選択すべきかは決まっていますが、内視鏡医師が観察時に病態・状況を判断して選択をします。止血術後は再出血の可能性もあるため入院治療を必要とします。

  • ステンレス製の止血クリップで出血している血管を挟み、出血を止めます。

食道静脈瘤・胃静脈瘤治療

肝硬変に伴う食道静脈瘤・胃静脈瘤に対する内視鏡治療です。吐血・黒色便などで緊急的に行う場合や、静脈瘤をもった肝硬変患者さんに対して計画的に治療を行う場合があります。食道静脈瘤の治療法には、静脈瘤に針を刺し血管を固める硬化剤を流し込む食道静脈瘤硬化療法や静脈瘤をゴムの輪で縛る食道静脈瘤結紮術があります。また胃静脈瘤に対しては強力な硬化剤であるヒストアクリルを静脈瘤に注入する胃静脈瘤硬化療法を行います。いずれの治療も入院が必要で、1回の入院中に処置を複数回繰り返して行います。

内視鏡的食道静脈瘤硬化療法

  • ステンレス製の止血クリップで出血している血管を挟み、出血を止めます。
  • 硬化剤に造影剤を混ぜているため、レントゲンにて硬化剤がしっかり血管内に入っていることが確認できます。
  • 治療前:下部食道に数珠状の静脈瘤を認めます
  • 治療後:静脈瘤は消失縮小しています

内視鏡的食道静脈瘤結紮術

  1. 内視鏡先端に結紮用のゴムが充填されたフードを装着し、静脈瘤をフード内に吸引します。

  2. 静脈瘤をフード内に十分引き込めれば、静脈瘤の根元に結紮ゴムを掛けます。

  3. 静脈瘤の根本に結紮ゴムが掛かっているのを確認して終了です。

内視鏡的胆管結石治療

胆嚢結石が総胆管に移動した場合や、胆嚢摘出後に総胆管内にできた結石に対して、十二指腸内視鏡を用いて結石を除去する処置です。総胆管結石は下部総胆管や十二指腸乳頭部に嵌頓し、胆汁や膵液の流れを止めてしまうと胆管炎や膵炎を起こすため胆管からの除去が必要です。一般的には胆管の出口である十二指腸乳頭部を内視鏡的に切開し(内視鏡的十二指腸乳頭切開術:EST)、胆管内にバスケットカテーテルやバルーンカテーテルといった処置具を挿入し、結石を十二指腸内に排出させます。処置により乳頭部の出血や膵炎などの併発症が生じる場合があるため絶食・点滴治療などの術後治療が必要です。

治療方法

  • ERCP:十二指腸まで内視鏡を挿入し、十二指腸乳頭から膵管や胆管に処置具を挿入していきます。
  • 胆管内の結石をバスケットカテーテルで掴み、十二指腸に引き出します。
  • バスケットカテーテル。
  • 細かな石はバルーンカテーテルで掻き出します。

内視鏡的十二指腸乳頭切開術(EST)と
胆管結石採石術(バスケット採石)

■内視鏡的十二指腸乳頭切開術(EST)

  1. 十二指腸乳頭部は胆管・膵管の出口にあたります。

  2. 電気メス(パピロトミーナイフ)で乳頭を縦に切開します。

  3. 乳頭切開により胆管開口部が切り開かれています。

■胆管結石採石術(バスケット採石)

  1. 胆管内にバスケットカテーテルを挿入します。

  2. バスケットカテーテルにて胆管結石を把持します。

  3. バスケットにて結石を十二指腸内に排石しました。

  4. 可能な限り全ての胆管結石を取り除きます。

内視鏡的胆膵ドレナージ処置

腫瘍による悪性胆管狭窄や、肝臓・胆道術後症例での良性胆管狭窄、慢性膵炎による主膵管狭窄に対して、胆汁や膵液の流れを改善させる処置です。内視鏡とレントゲン透視を併用し、狭窄部にプラスチック製もしくは金属製のステントを留置し、狭窄部の通過障害を解除します。ステントは人工物のため、長期使用により閉塞することがあり、定期的な交換や追加留置が必要です。また超音波内視鏡を用いて消化管壁から直接拡張胆管・膵管のドレナージを行うEUS-BD、EUS-PDも症例に応じて行っています。

内視鏡的ステント留置術

■使用器具

  • 胆管用チューブステント
  • 膵管用チューブステント
  • 上段:カバー付き金属ステント
    下段:カバー無し金属ステント
  • 金属ステントにはいろいろな形状があり、ステントの特性と病態を考慮してステントを選択します

■治療方法

  1. 狭窄部にガイドワイヤーとカテーテルを留置します。

  2. ガイドワイヤーに沿ってステント留置カテーテルを挿入します。

  3. レントゲンにて位置を確認しながら、ゆっくりとステントを留置していきます。

  4. ステントが留置されると、ステント自身が拡張することで狭窄を解除します。

チューブステント留置例

  1. 左右の胆管合流部に狭窄を認めます。

  2. 左右の胆管にチューブステントを留置しています。

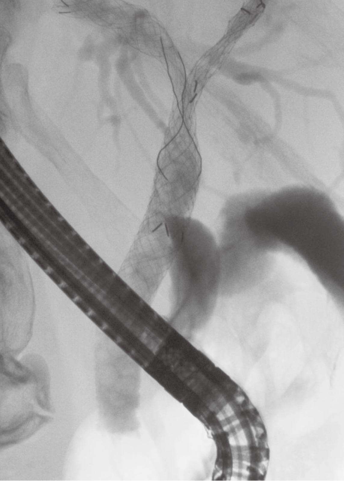
金属ステント留置例

  1. 左右の胆管合流部が腫瘍により閉塞しています。

  2. 左右の胆管にそれぞれ金属ステントを留置しています。

消化管ステント留置

消化管が悪性腫瘍により閉塞を来した場合に、食事や便が通過できるように消化管を広げる処置です。内視鏡とレントゲン透視を併用して狭窄部に金属製のステントを留置します。悪性腫瘍の進行により全身状態が悪く外科的治療が受けられない方や、消化管閉塞により食事が出来ない方の生活の質(QOL:quality of life)を改善させる目的で行います。併発症として、腫瘍からの出血や狭窄部位の穿孔が知られており、治療経験が豊富な医師により施術いたします。

内視鏡的消化管ステント留置術

  1. 腫瘍による狭窄部にガイドワイヤーを通過させます。

  2. ステントデリバリーカテーテルを狭窄部に通します。

  3. 位置をレントゲンで確認しながらステントを留置していきます。

  4. ステントが留置されると狭窄部が広がります。

症例

  • 膵臓に周囲に広がる腫瘍を認めます。
  • 腫瘍は膵臓外の小腸に浸潤しています。
  • 小腸透視では腫瘍により小腸が狭窄しています。
  • 内視鏡でステントデリバリーシステムを狭窄部に通します。
  • 内視鏡とレントゲンで位置を調整しながらステントを留置します。
  • 留置されたステントは数日で自己拡張していきます。

※本ページ内の画像はアステラス製薬「内視鏡テクニカルガイド」より許可を得て参照しています