2023.11.08
脳の血管がつまる、細くなる|脳神経外科
脳の血管がつまる、細くなる

ここがポイント
-
脳の血管がつまる
脳梗塞は、つまった血管を再開通させることで、回避できる可能性があります
-
つまった血栓を取り除く
血栓回収療法は、発症から24時間まで行うことができます。
-
脳の血管が細くなる
バイパス手術は、脳梗塞の予防法として推奨されています。
1脳の血管がつまる

【図1】
脳卒中はかつて死因の第1位でしたが、救急医療や治療法の進歩により亡くなる患者さんは減り、今では死因の第4位です。一方、脳卒中は寝たきりの原因の第1位で35%を占めています。重度の介護が必要な人(要介護4、5)が約130万人ですから、ざっと50万人(250人に1人)が脳卒中で寝たきりになっています。
脳卒中には、脳の血管がつまる「脳梗塞」、脳の血管が破れる「脳出血」と「くも膜下出血」があります。脳出血やくも膜下出血では、出血により損傷した脳は元に戻せません。一方、脳梗塞では、つまった血管を再開通させることで、脳の損傷を回避できる可能性があります。
しかし、それも時間との勝負です。脳梗塞は進行が早く、4時間で5倍、24時間で9倍の大きさに広がります。脳卒中を疑った場合、チェックすべき症状として「FAST」が推奨されています(図1)。顔の麻痺(Face: F)、腕の麻痺(Arm: A)、言葉の障害(Speech: S)の1つでもあれば、発症時刻(Time: T)を確認して、速やかに救急もしくは医療機関へご連絡ください。当院では兵庫医科大学脳神経外科協力のもと、24時間365日、脳卒中患者の受け入れを行っています。
2つまった血栓を取り除く

【図2】
脳の血管がつまる原因によって、脳梗塞は3つに分類されます。「ラクナ梗塞」は、細い血管がつまる脳梗塞(図4)で、「アテローム血栓性脳梗塞」は、太い血管が徐々に細くなってつまる脳梗塞です(図5)。これらは、高血圧や糖尿病、脂質異常症、喫煙などによる動脈硬化が原因です。一方、「心原性脳塞栓症」は、心房細動などの不整脈により心臓内に血栓ができ、それが脳の血管につまることで生じます(図6)。
発症から4.5時間以内であれば、全ての脳梗塞タイプに対して血栓を溶かす薬の投与(t-PA静注療法)が可能です。一方、太い血管につまった血栓を取り除く治療(血栓回収療法)は、条件を満たせば発症から24時間まで行うことができます(図2)。
血栓回収療法は、使用する血栓回収デバイスの進化や手技の向上もあり、適応が拡大しつつあります。兵庫医科大学脳神経外科が主導したRESCUE-Japan LIMIT(N Engl J Med 2022; 386 : 1303-13)という試験では、脳梗塞の範囲が広い患者さんにも血栓回収療法が有効であることを示すことができました。
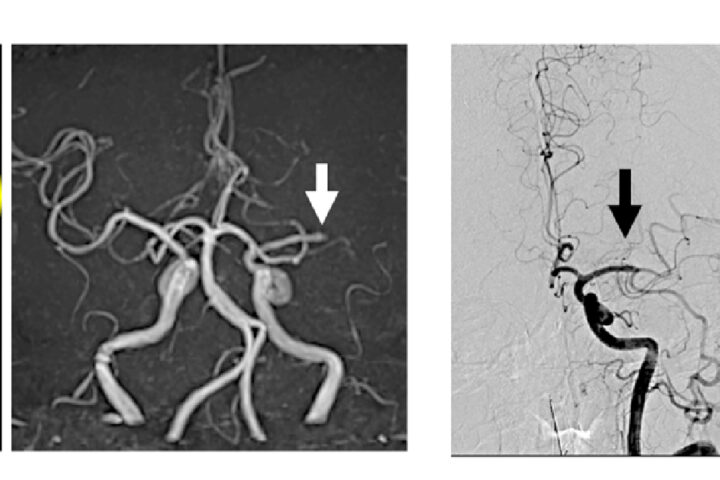
症例

【図3】

【図4】

【図5】

【図6】
3脳の血管が細くなる

【図7】
脳梗塞を起こした患者さんは再発しやすく、発症後1年で10人に1人が、10年で半分の人が再発すると言われています。中でも、太い血管が徐々に細くなる「アテローム血栓性脳梗塞」は、薬だけで再発を予防できないことも多いです。その予防法として、バイパス手術(中大脳動脈-浅側頭動脈吻合術:STA-MCA バイパス術)があります(図7)。
アテローム血栓性脳梗塞の患者さんに対するバイパス手術は、日本の臨床試験(JET-study)において再発の予防効果が示されました。その試験で手術適応を決める際に用いられた検査が、核医学検査(脳血流シンチ)です(図8)。脳血流シンチでは、脳に取り込まれた検査薬の量を測定し、脳血流を数値化することができます。この核医学検査装置の普及率は25%程度と低いものですが、当院では大阪市西淀川区で唯一この検査ができます。
症例

【図8】
手術は、直接脳の血管をつなぐ「直接バイパス」と(図7)、場合によっては、筋肉を脳の表面に敷いて、将来的に新生血管による血流増加を期待する「間接バイパス」を併用して行います。当院では脳血流シンチで脳血流の低下を診断し、適応を満たす症例に対して積極的にバイパス手術を行なっています。
4LINEクイズの答え

Q)脳卒中を疑う症状として、懸念すべき症状は下記のうちどれでしょう?
1)顔の麻痺
2)腕の麻痺
3)言葉の障害
A)すべて
※1~3のいずれか1つでも症状があれば、すぐに発症時刻の確認をして救急に連絡しましょう。
千船病院公式LINEではイベント情報や健康クイズを配信中!
ぜひお友達登録をお願いします☆
↓
関連ワード
関連診療科ページ
-
array(1) {
[0]=>
int(183)
}
- 脳神経外科|千船病院【大阪市西淀川区】






